- Дайджест работы докторов Тараса и Романа Рокиты за ноябрь-декабрь 2025 года
- Дайджест работы доктора Рокиты за август-октябрь 2025 года
- Что такое диспластический коксартроз тазобедренного сустава?
- Доктор Роман Рокита посетил конференцию Ялтинская Европейская стратегия
- Дайджест работы доктора Рокиты за июнь-июль 2025 года
- Архив статей
Дайджест работы доктора Рокиты за август-октябрь 2025 года
Полная замена тазобедренного сустава
На фото видим удачный пример полной замены (двустороннего эндопротезирования) тазобедренного сустава.Что сказать – если через 2 месяца после операции пациент приходит на приём, при этом не имеет жалоб и на вопрос о целях посещения и беспокоит ли что-то, отвечает – всё хорошо, вы сами сказали прийти через 2 месяца на осмотр, значит работа выполнена 100% так, как нужно.И это очень приятно.

Учиться всегда актуально
Ne discere cessa – девиз врача на всю жизнь.Даже в возрасте 50+ с соответствующим врачебным стажем никогда не будет лишним научиться чему-нибудь новому, в частности попрактиковаться с пластиковыми макетами костей и суставов.Тарас Рокита имел возможность подержать в руках новый инструментарий, необходимый для проведения современных операций на суставах, а также узнать кое-что новое о методах эндопротезирования коленного сочленения.

Что дает полную клиническую картину при травме
Пластиковый макет плечевого сустава – лучший способ объяснить пациенту, в чем его проблема, поскольку анатомическая модель предоставляет точную визуализацию скелетного устройства плеча.Также не обойтись без тестов, МРТ и/или компьютерной томографии, что в комплексе даёт полную картину во время очного осмотра.



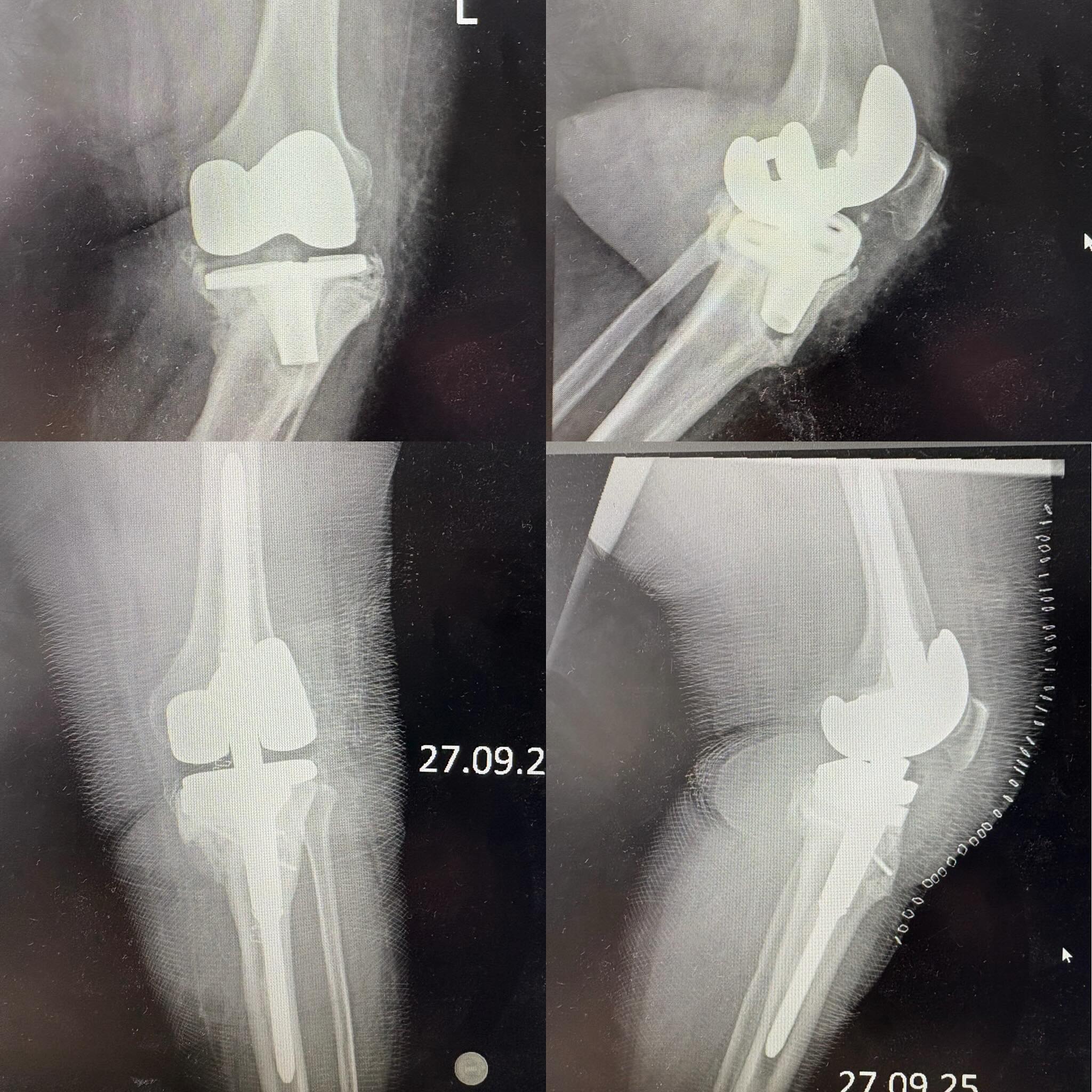
Ревизионное эндопротезирование
Ревизионное эндопротезирование (т.е. повторное, с заменой эндопротеза) является довольно сложной операцией, гораздо более сложной по сравнению с первичным эндопротезированием.Она требует специального подхода, учёта технических нюансов, а также знаний, опыта, подготовки и соответствующего оснащения.Кроме того, операция недешёвая, при этом очень нужная и в большинстве случаев – безальтернативная для пациента.Поэтому данное направление, по мнению Тараса Григорьевича – именно то, на что в ближайшем будущем должна быть направлена государственная социальная поддержка в медицинской сфере.

Благодарности от военных для Тараса и Романа Рокиты
В любом возрасте врачу очень приятно получать подобные награды от наших воинов.Это иллюстрация того, Тарас Рокита и Роман Рокита не только исправно выполняют свою повседневную работу, но и делают нечто более значимое и важное.И результат этой работы стоит того, чтобы и дальше ставить на ноги (в буквальном и переносном смысле) наших военных, возвращая им здоровье и силы для дальнейшей борьбы с врагом.


Тарас Рокита